親知らずは本当に抜かなきゃだめなの?
親知らずは全て抜かないといけないの?
抜いた方が良い場合の方が多いです。
しかし、生え方や咬み合わせの関係が良好な親知らずは、抜かないで良い場合もあります。
抜いた方が良い場合
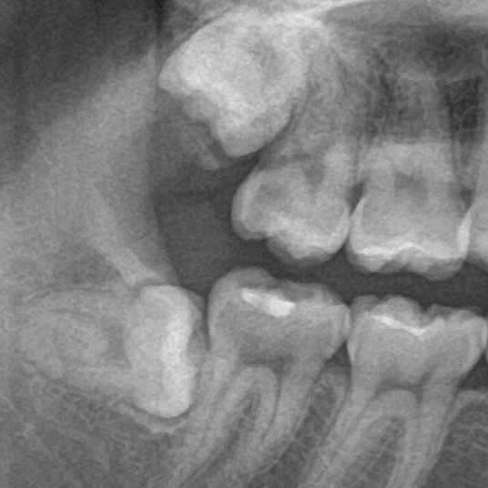
親知らずが斜めや横を向いていて、まっすぐ生えていない場合です。歯ブラシが届きにくいので、磨き残しからむし歯や親知らずの周囲の炎症が起こります。
また注意が必要なのは、7番目の歯(第二大臼歯)の後ろの方に深い歯周ポケット(注1)があると、親知らずがまったく見えず歯肉に隠れていてもバクテリアに感染してしまう場合があります。こちらも歯を抜くことが必要になります。
他には噛み合わせの親知らずがない場合、親知らずで舌や歯肉を咬んでしまって痛い場合、親知らずが原因で顎関節に痛みがある場合などが挙げられます。
(注1)歯周ポケット:歯と歯肉の境目にある深い溝。
抜かないで良い場合
親知らずがまっすぐ生えていて、なおかつ反対側の親知らずとしっかり噛んでいて、むし歯や親知らず周囲の炎症を起こしていない場合は抜く必要はありません。
しかし、現代人の顎は食事の変化に伴い小さくなってきており、親知らずが正常にはえて機能している人は少なく、多くの人は何らかの問題を抱えていることがほとんどです。
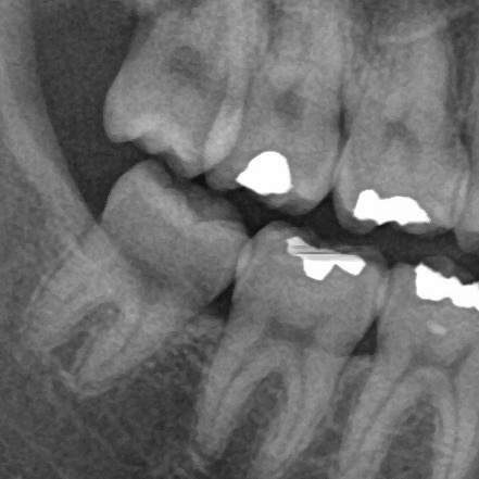
むし歯の親知らずは、削って詰める治療はできないの?
親知らずはお口の最も奥にあり、削る器具が届かない場合が多く、なんとか届いたとしても、どうしても治療が不十分になりがちです。
また、例え治療で親知らずのむし歯をすべて除去できたとしてもまたむし歯になる可能性が高く、削って詰める治療はオススメできないことがほとんどです。

どうして腫れるの?





